Hipofiz bezi tümörü hangi belirtilerle kendini gösterir?
Hipofiz bezi tümörleri, beynin tabanındaki hipofiz bezinde meydana gelen anormal hücre büyümeleriyle oluşur. Genellikle iyi huylu olan bu tümörler, hormonal dengesizliklere ve çeşitli sağlık sorunlarına yol açabilir. Erken teşhis ve uygun tedavi, hastaların yaşam kalitesini artırabilir.
Hipofiz Bezi Tümörü Nedir?Hipofiz bezi, beynin tabanında yer alan ve birçok önemli hormonal işlevi kontrol eden küçük bir bezdir. Vücutta büyüme, metabolizma, stres yanıtı ve üreme gibi birçok süreci düzenleyen hormonları salgılar. Hipofiz bezi tümörleri, bu bezin anormal hücrelerinin büyümesi sonucu oluşur ve genellikle benign (iyi huylu) olsalar da bazı durumlarda malign (kötü huylu) olabilirler. Bu tümörler, hipofiz bezinin hormon üretimini etkileyerek çeşitli belirtilere yol açabilir. Hipofiz Bezi Tümörlerinin BelirtileriHipofiz bezi tümörlerinin belirtileri, tümörün büyüklüğüne, yerleşimine ve hormon üretiminde yarattığı değişikliklere bağlı olarak değişiklik gösterir. Aşağıda hipofiz bezi tümörlerinin yaygın belirtileri sıralanmıştır:
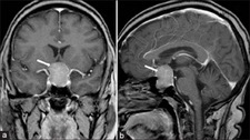
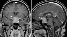
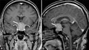
Hipofiz Bezi Tümörlerinin TeşhisiHipofiz bezi tümörlerinin teşhisi genellikle aşağıdaki yöntemlerle yapılır:
Tedavi SeçenekleriHipofiz bezi tümörlerinin tedavi yöntemleri, tümörün tipine, boyutuna ve hastanın genel sağlık durumuna bağlı olarak değişiklik gösterir. Tedavi seçenekleri arasında:
SonuçHipofiz bezi tümörleri, vücuttaki hormonal dengeyi etkileyerek çeşitli belirtilere yol açabilir. Belirtilerin farkında olmak ve erken tanı için bir sağlık uzmanına başvurmak önemlidir. Tedavi seçenekleri hastanın durumuna göre değişiklik gösterse de, uygun tedavi ile birçok hasta başarılı sonuçlar alabilmektedir. Hipofiz bezi tümörleri ile ilgili daha fazla bilgi ve destek almak için uzman bir doktora danışılması önerilir. Ekstra BilgilerHipofiz bezi tümörlerinin kesin nedeni bilinmemektedir. Genetik faktörler, çevresel etmenler ve hormonal dengesizliklerin etkili olabileceği düşünülmektedir. Ayrıca, bazı hipofiz tümörleri belirli genetik sendromlarla ilişkili olabilir. Bu nedenle, aile öyküsü ve genetik danışma da önemli bir rol oynamaktadır. |

















Hipofiz bezi tümörü hakkında okuduğumda, belirtilerin ne kadar çeşitlilik gösterebileceği gerçekten dikkatimi çekti. Özellikle baş ağrısı ve görme problemleri gibi semptomların, bu tür bir tümörün varlığının erken işaretleri olabileceğini öğrenmek beni düşündürdü. Yani eğer birisi bu belirtileri yaşıyorsa, derhal bir sağlık uzmanına başvurması ne kadar da önemli! Ayrıca, hormonal dengesizliklerin kilo değişikliklerine ve yorgunluğa yol açabiliyor olması, günümüzde birçok insanın hissettiği bu tür sorunların altında yatan nedenlerden biri olabilir mi? Tedavi yöntemlerinin çeşitliliği de dikkat çekici; cerrahi müdahale, radyoterapi ve ilaç tedavisi gibi seçeneklerin bulunması, hastaların durumuna göre farklı yaklaşımlar gerektirdiğini gösteriyor. Son olarak, tümörlerin kesin nedeninin bilinmemesi ve genetik faktörlerin rolü, bu konuda daha fazla araştırma yapılması gerektiğini düşündürüyor. Sizce bu tür belirtilerle karşılaşan birinin ne yapması en mantıklısı olur?
Hipofiz Bezi Tümörü Belirtileri hakkında yaptığınız gözlemler oldukça önemli. Bu tür belirtilerin çeşitliliği, gerçekten de hastaların dikkatli olmaları gerektiğini gösteriyor. Özellikle baş ağrısı ve görme problemleri, hipofiz tümörlerinin erken dönemlerinde sıkça karşılaşılan semptomlar arasında yer alıyor. Bu nedenle, bu tür belirtiler yaşayan kişilerin bir sağlık uzmanına başvurması son derece kritik.
Hormonal Dengesizlikler konusu da oldukça ilginç. Kilo değişiklikleri ve yorgunluk gibi yaygın sorunların altında hipofiz bezi ile ilgili problemler yatabilir. Bu durum, birçok insanın yaşadığı sıkıntıların kaynağını anlamak açısından önemli bir ipucu sunuyor.
Tedavi Yöntemleri bakımından ise, cerrahi müdahale, radyoterapi ve ilaç tedavisi gibi seçeneklerin varlığı, hastaların durumuna göre özelleştirilmiş yaklaşımlar gerektirdiğini ortaya koyuyor. Her hastanın durumu farklı olduğu için, kişiselleştirilmiş bir tedavi planı oluşturulması gerektiği kesin.
Son olarak, hipofiz tümörlerinin kesin nedeninin bilinmemesi, genetik faktörlerin etkisi gibi konular, bu alanda daha fazla araştırma yapılmasının gerekliliğini ortaya koyuyor. Bu tür belirtilerle karşılaşan birinin, en mantıklısı derhal bir sağlık uzmanına başvurması ve belirtilerini detaylı bir şekilde aktarması olacaktır. Bu, erken teşhis ve uygun tedavi için büyük önem taşıyor.